19-Year-Old Levin: Working Through Adversity in Honduras
Levin was 19 years old, the youngest son of eight in a farming family who live in the mountains about 3 hours north of San Pedro Sula, Honduras. Levin was a shy young man. Part of his reticence may have to do with the psychological effects of having lived his life with a congenital, disfigurement of his lower right leg. A few inches below his knee, his tibia made a 90 degree turn to the back of the leg and grew a distorted inverted foot. He stood in an unbalanced position. He walked with a permanent genuflected gait.
During an Operation Rainbow trip to San Pedro Sula, the family sought an amputation of the distorted foot as the best solution for Levin. However, we had neither a mechanism to secure proper counseling for Levin nor a local means to arrange for a prosthesis. FAKS arranged for Levin to be evaluated at the ROMP-Guatemala prosthetic clinic, six hours across the border in Zacapa, Guatemala. The family pulled together scarce resources to make that arduous trip.
The specialists at the Guatemala ROMP-Guatemala clinic reviewed Levin’s situation and discussed with him his options. Counseling is an important first step before taking the irreversible decision to amputate a limb. Levin confided that he was anxious about the physical challenges of the operation but that he was motivated to proceed with the amputation. He treasured the dream of some day walking “like a normal person”.
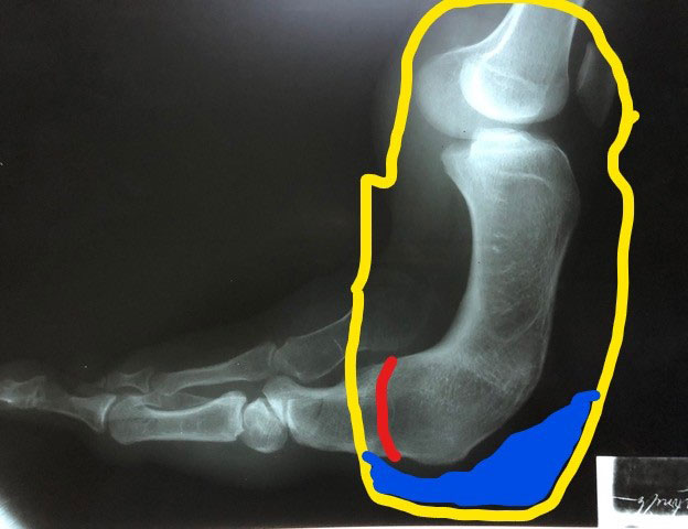
The surgeons, in consultation with the prosthetist, decided that it would be best to amputate Levin’s dysfunctional foot at the point indicated by the red line in this picture of the X-Ray. ROMP-Guatemala would then fabricate the prosthetic socket represented by the yellow lines.
FAKS Foundation coordinated with Operation Rainbow, Pro-Honduras and the Hospital Escuela in Tegucigalpa, Honduras to arrange for the amputation in early October 2018. Serious but confident that he had made the correct decision, Levin focuses on his first steps the day after surgery.
By January of 2019, Levin’s residual limb was sufficiently healed to have his prosthesis fitted.
Two weeks after his fitting, Levin started walking with careful steps. His body resisted the idea of having two legs of equal length. But three months later he could saunter confidently around a patio.
Levin’s family made the sacrifice to fund most of the cost of trips to Tegucigalpa and to Guatemala. In addition, they were able to contribute to a portion of cost of the prosthesis. FAKS covered approximately $900 of costs.
Levin’s story is a tribute to cooperation. Operation Rainbow performed the surgery at no cost. Pro-Honduras coordinated Levin’s care and support at the Hospital Escuela. ROMP-Guatemala provided counseling, the fabrication of the prosthesis and arranged for Levin’s lodging in Guatemala. FAKS, with the help of donors, covered the costs of travel, lodging etc. which were beyond the family’s reach. “It takes a village” . . . but, relatively speaking, not a lot of money to change a life and create another “Functionally Active Kid”.
In 2026, a confident 25 year old Levin is married. He and his wife have welcomed their first son. He is working every day and is much more socially confident. FAKS has a policy that we will support prosthesis users until they are full-grown and independent. Accordingly, Levin is now able to work with his prosthetist independently of FAKS.
